【影像APP】X线、CT、MR影像解剖高清图谱(可下载)

文末有安装方式已关注
关注
重播 分享 赞
已关注
关注
重播 分享 赞
已关注
关注
重播 分享 赞
已关注
关注
重播 分享 赞

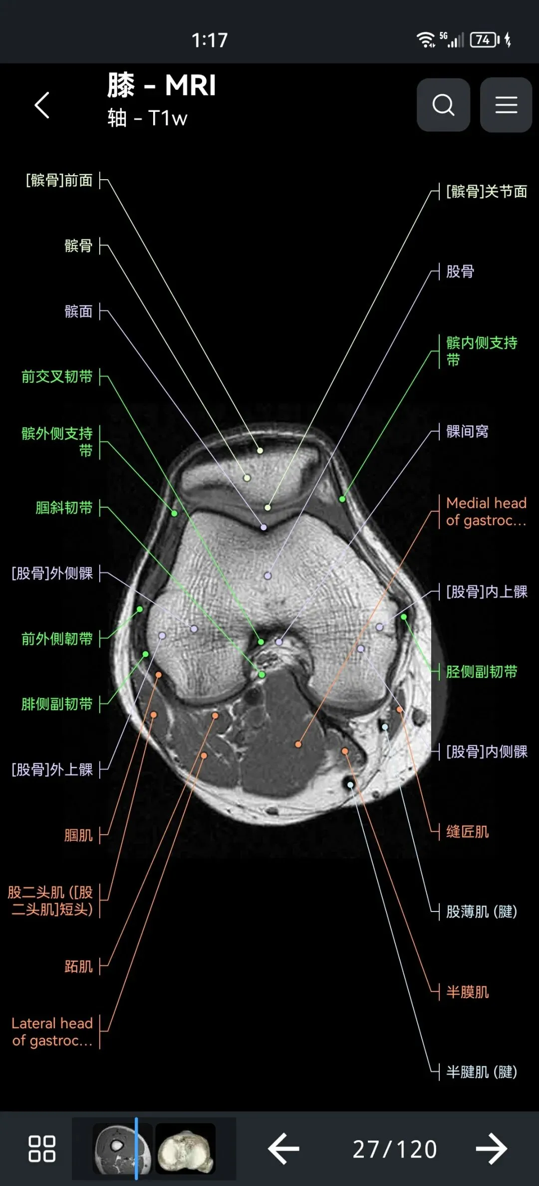
🌈这是国外引进的一款专业影像解剖学习软件。
🌈 软件内容:
覆盖了X光、CT、MRI、断层大体解剖、核医学、介入造影、医学插图等多个模块,覆盖全身各个系统的影像解剖(正常解剖结构,无病例),其中的解剖结构高达87万个,结构标注超精细,超高清图像,历时两年研发设计完成✅。
🔴支持设备:
手机端:安卓、华为手机或平板 【推荐】 电脑端:Windows系统;
目前无苹果🍎端
【适用人群】
需要日常临床阅片,想学习影像解剖知识的医务人员,医生、医学生、规培生、实习生、研究生、新入职影像科医生、临床医生等。
专业的人,用专业的工具
需要安装的此款软件的,见文末




























































夜雨聆风
