乐于分享
好东西不私藏

AI赋能脱氨酶演化:新型A3F碱基编辑器助力胰腺癌精准治疗

AI赋能脱氨酶演化:新型A3F碱基编辑器助力胰腺癌精准治疗

胞嘧啶碱基编辑器(CBEs)能够在不产生DNA双链断裂的情况下实现精确的C-to-T转换,在肿瘤治疗领域具有巨大的应用潜力。然而,目前常用的脱氨酶仍存在编辑窗口偏好、脱靶活性及序列背景依赖等局限性。
近日,来自天津医科大学肿瘤医院的郝继辉/杨超、周天兴、冯玉宽团队联合华中科技大学同济医学院附属协和医院及中国科学院天津工业生物技术研究所的研究团队在Communications Biology发表研究:‘Rationally and In Silico Guided APOBEC3F-directed CBE for Enhanced PDAC Genetic Therapy’,报道了通过AI模型导航与结构导向突变改造人类APOBEC3F(A3F),开发出一系列高性能的新型CBE工具。
A3F脱氨酶的结构改造与理性筛选
研究团队首先关注到此前在碱基编辑领域研究较少的APOBEC3F(A3F)。初步研究表明,A3F在体外具有鲁棒的脱氨活性和特异性,且在BE3框架下表现出仅次于A3A和A3B的编辑效率。
研究者基于结构数据和理性设计,构建了涵盖A3F全长(FL)及C端结构域(CTD)的15个突变体(图 1a)。
关键位点W310:实验发现,位于W310位点的突变能显著提升编辑效率。其中,A3F-W310D变体在多个基因座上的表现达到或超过了BE4max和A3A-BE4max,且其编辑窗口略有缩小(图 1c,e)。
特性总结:A3F-W310D展现出广泛的适用性,且indel(插入缺失)频率与BE4max相当(图 1d)。
图 1
AI蛋白质语言模型引导的性能飞跃:heA3F
为了进一步增强编辑性能,研究团队引入了进化尺度建模(ESM)等蛋白质语言模型进行在位筛选(图 2a)。
高效率突变组合:通过ESM-1v、ESM-MSA-1b和ESM-if1三种模型生成的突变分值,筛选出H198D、S216T和G285R等有益突变(图 2b)。
heA3F的诞生:将W310D + S216T + H198D进行组合,命名为heA3F(high-efficiency A3F)。
效率表现:在内源性位点基准测试中,heA3F的编辑效率持续高于A3F-W310D,且无明显的序列背景偏好(图 2d, 2e)。
图 2
结构导向的高精度改造:haA3F
在追求高效率的同时,精确性也是治疗应用的关键。研究团队通过同源比对A3F与A3A的底物结合界面,进行了特异性优化(图 3a)。
精确度提升突变:引入N240G(对应A3A的N57G)和 Y307G 突变,显著限制了编辑窗口(图 3b)。
haA3F-GA:组合突变体heA3F-N240G + Y359A(简称为 haA3F-GA)在效率与特异性之间达到了平衡。
窗口特征:相比于heA3F,haA3F变体将编辑窗口精确缩减至第 5-6位 胞嘧啶(图 3e),并减少了非预期的C-to-A/G副产物。
图 3
性能对标:超越现有主流工具
在与现有的CBE 工具(如A3A-BE4max, Anc689等)的对比中,A3F变体展现出显著优势:
高效率:在TP53等位点,hyA3F(heA3F-Y359A)的C-to-T编辑效率比A3A提高了1.9倍
高精度:haA3F变体在多数测试位点的表现优于haA3A-G,最高实现了3.0倍的精度提升。
安全性:转录组水平的RNA-seq分析显示,A3F变体诱导的RNA脱靶编辑显著低于A3A-BE4max。
临床前应用:PDAC的基因沉默治疗
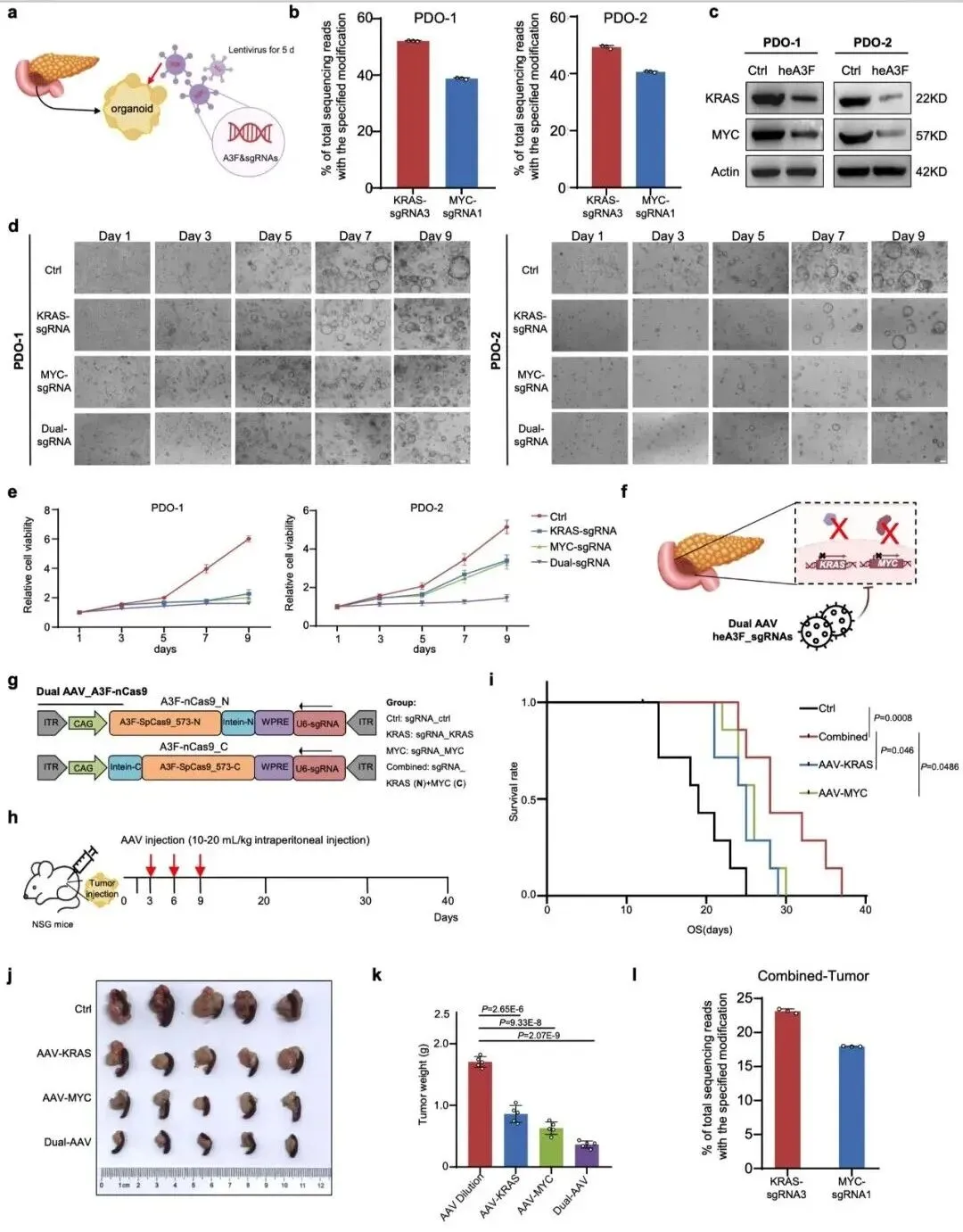
胰腺导管腺癌(PDAC)预后极差,常由KRAS突变和MYC过表达驱动。研究团队尝试利用优化后的A3F工具同时沉默这两个原癌基因。
gRNA筛选与验证:在HEK293T和PANC-1等细胞系中确定了针对KRAS和MYC的高效gRNA组合,通过引入过早终止密码子实现基因敲除。
类器官模型(PDO):在患者来源的类器官中,heA3F介导的编辑显著降低了靶蛋白表达,并抑制了类器官的增殖(图 4b, c, e)。
小鼠原位瘤治疗:采用双AAV递送系统(图 4f, g),通过腹腔注射治疗带有PDO原位移植瘤的小鼠。
结果:联合靶向KRAS和MYC的治疗组显示出最强的肿瘤抑制效果,并显著延长了小鼠的生存期(图4i, j)。
图 4
本研究通过整合ESM蛋白质语言模型和理性结构设计,成功打破了天然脱氨酶的性能瓶颈,开发出高效率、低脱靶的新型A3F-CBE平台。该技术在PDAC动物模型中展现的强大治疗潜力,为攻克“不可成药”致癌驱动因子提供了全新的精准基因治疗策略。

往期推荐

仅需4个月!转化率超60%!草莓基因编辑新突破!|ppb

85.6%编辑效率!SHOT 2.0 助力构建“全合一”杆状病毒引导编辑载体

第四届全国植物遗传学与基因组学创新学术交流会

Trends in Biotechnology|突破!大西洋鲑高效单碱基编辑体系建立!密码子优化实现效率大幅提升!

40倍效率提升!针叶树遗传转化新利器,攻克林木功能基因组研究“深水区” | PBJ

突破演化极限!新一代正交复制系统问世,16小时极速攻克抗生素耐药性

进交流群 | 商务 | 投稿 

请添加助手微信

看到了这里,不妨‘一键三连’支持一下,为小编的激情更新助力!

本站文章均为手工撰写未经允许谢绝转载:夜雨聆风 » AI赋能脱氨酶演化:新型A3F碱基编辑器助力胰腺癌精准治疗

评论 抢沙发

1 + 7 =
  • 昵称 (必填)
  • 邮箱 (必填)
  • 网址
×
订阅图标按钮