
那通改变命运的电话
秋天的一个下午,老邱像往常一样走进医院。挂号,排队,做检查——不过是例行的糖尿病随访。抽完血,拍完片,他像过去的每一天那样,准备回家等报告,然后找医生开点药,继续平淡的日子。
但手机响了。电话那头是肝胆胰外科:"您得马上回来一趟。"
老邱愣住了。屏幕上的影像让他瞳孔收缩——胰腺深处,潜伏着一个肉眼几乎无法分辨的阴影,医生说是癌。
"可报告上明明什么都没写啊?"
"报告没写,是因为人眼看不见,"医生顿了顿,"但AI看见了。"
无影灯亮起,那个不足两厘米的病灶被完整剥离。病理报告证实了最坏的可能,也给了最好的答案:是癌,但尚在早期。
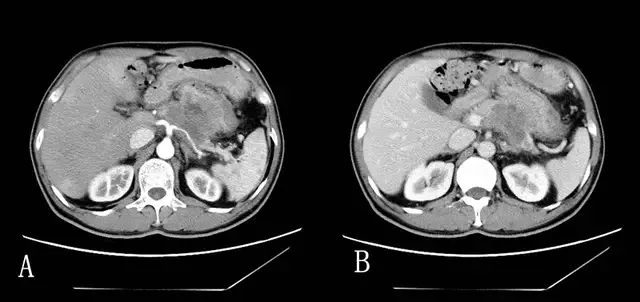
77岁的范奶奶有着相似的际遇。年初的胆道术后复查,腹部平扫CT显示一切如常,除了AI在胰腺深处捕捉到的那颗"定时炸弹"。确诊时,癌症还蜷缩在角落里,尚未展露獠牙。手术过后,无需化疗,甚至不用服药,她就这样与死神擦肩而过。

在宁波,4万人的筛查数据中,AI揪出了两例被常规检查放走的早期胰腺癌,其中一例病灶仅有1.5厘米。放眼更大的图景,这个名叫PANDA的AI已在18万余张平扫CT中,捕获了24例被遗漏的病灶,超过半数尚处早期。
每一例检出,都是一场与"癌王"的生死竞速;每一个数字背后,都是一个被改写结局的人生。
为何叫它"癌王"?
要理解这些数字的分量,你得先知道胰腺癌凭什么在肿瘤界令人闻风丧胆。
海军军医大学第一附属医院(上海长海医院)的金钢教授摊开人体解剖图:这个长约15厘米的器官,深藏在胃的后方、脊柱的前方,紧邻十二指肠、胆总管,以及门静脉等重要血管。它藏得太好了——常规体检触诊摸不着它,B超常常看不清它。

更狡猾的是,当肿瘤还在萌芽期、直径不足两厘米时,它沉默得像个乖孩子。没有疼痛,没有黄疸,没有消瘦。等到它终于露出獠牙——上腹隐痛、腰背酸胀、体重莫名下降——往往已是劫数难逃。超过80%的患者确诊时,肿瘤已局部浸润或远处转移,彻底丧失手术根治的机会。
即便有症状,它也擅长伪装。上腹痛?大概是胃病。腰背酸?可能是劳损。血糖突然升高?也许是糖尿病恶化了。这就是"癌王"的阴险——用最普通的症状布下迷魂阵。在中国,胰腺癌五年生存率仅8.5%,在所有恶性肿瘤中垫底。
而那些极少数在早期被抓获的幸运儿,命运截然不同。金钢透露,若肿瘤直径不足一厘米且无淋巴结转移,术后五年生存率可跃升至85%。
问题是,如何抓住这个转瞬即逝的窗口?长久以来,答案令人沮丧。长海医院放射诊断科曹凯副主任医师解释,医学上有两种CT:平扫与增强。后者需要注射造影剂,图像更清晰,被认为是观察胰腺癌的金标准。但社交平台上,做过增强CT的人常抱怨恶心、潮热、呕吐。
早期患者本就没有不适,为什么要挨这一针?于是悖论产生了:增强CT是诊断工具,而非筛查工具。无法筛查,就意味着困在"发现即晚期"的死循环里。
因恩师之死而启程
转机出现在2023年11月。《自然·医学》杂志封面刊登了一篇重磅论文——《通过平扫CT与深度学习的大规模胰腺癌检测》。论文介绍了一种用AI解读平扫CT进行早筛的方法,以及一个名为DAMO PANDA的模型。
曹凯是这篇论文的第一作者。故事要从2018年说起,那时他还是个在普外科轮转的实习生,带教主任突然被确诊为胰腺癌晚期。医院动用了最顶尖的资源,终究回天乏术。
恩师离世后,曹凯始终无法释怀。后来成为放射科医生,他翻出了老师确诊前10个月为筛查肺结节拍摄的平扫CT。重新审视,胰腺区域的影像确实有微小异常——但当时所有人的注意力都在肺上,这处致命的蛛丝马迹就这样被忽略了。
2020年前后,AI浪潮席卷全球,AlphaFold刚问世不久。一个念头击中了他:如果AI能成为"第二双眼",甚至作为"质控员",老师的悲剧是不是可以避免?
研究迅速启动。逻辑并不复杂:收集同时做过增强CT和平扫CT的胰腺癌患者,将增强CT上的病灶精确标注到平扫CT上,作为"教材"训练AI。令人震惊的是,AI不仅能识别胰腺癌,甚至能发现两厘米以内的早期病灶。十多家医院的多中心验证,让曹凯信心倍增。
他小心翼翼地将恩师的平扫CT输入系统。警报响起的那一刻,这个三十多岁的男人泪流满面。
那篇登上顶级期刊封面的论文,配图正是恩师的CT影像与AI的识别结果。
在"抓得到"与"不冤枉"之间
在实际应用中,医疗模型有两个核心指标:敏感性和特异性。前者确保病人有病时AI能报警——不漏诊;后者确保病人没病时AI不瞎报——不误诊。
"早期模型也会犯错,我们建了个'错题本',让它反复学习。"曹凯说。渐渐地,模型既能精准锁定患者,又极少误报。凭借出色表现,它被FDA认定为"突破性医疗器械"。

但落地门诊和体检中心时,新问题接踵而至。体检常用低剂量CT,图像噪声大,识别难度陡增;医生们也开始面临伦理困境——当AI报阳性而肉眼看不见异常时,那通通知患者的电话,打还是不打?
"巨大的焦虑不是给病人的,是给放射科医生的。"曹凯坦言。接触病人是有代价的,没人愿意让健康人承受疑似癌症的精神折磨,以及后续昂贵且有创的检查。
团队找到了解法:利用生成式模型学习平扫与增强CT的差异,将平扫图像"翻译"成类似增强CT的效果,为医生提供可视化的"拐杖",让判断更有底气。
"战战兢兢"的医者
今年初,《纽约时报》的整版报道让这项技术成为全球焦点。但在长海医院肝胆胰脾外科主任金钢的办公室里,这位上海滩顶尖的胰腺"一把刀",反复念叨一个词:战战兢兢。
"算法只是面子,数据才是里子。"金钢说。2013年执掌科室以来,他未雨绸缪,积攒下高精度、大样本的影像资料,以及精确匹配的结构化病理和病历。
即便算法精度上去了,金钢依然战战兢兢。他算过一笔账:胰腺癌发病率约为每10万人12至15例。假设一个算法敏感性100%,特异性99%——这在AI领域已是惊人成绩——用于10万人筛查会发生什么?

"确实能找到全部12个患者,但会制造出近千个假阳性。"金钢神情凝重,"如果大规模筛查带来如此多误报,医疗系统无法承受,患者更承受不起。"
因此,团队在提升敏感性的同时,更死磕特异性,"确保绝不误伤无辜"。
最近一年,除了门诊和手术,金钢团队忙于将AI系统部署落地——适配各家医院的信息系统、流程和场景,"这是个浩大的工程"。他们还在研发"刹车系统":基于平扫CT的胰腺癌危险分级,结合液体活检技术,让有限的医疗资源精准流向真正高危的人群。
曹凯的野心更大。既然平扫CT覆盖范围广,何必只盯着胰腺?"一扫多查"的泛癌筛查正在酝酿中——一次平扫,预警胰腺癌、食管癌、胃癌、结直肠癌、肝癌等多种高发癌症。
"上海基层社区卫生服务中心已大量配备CT,这是筛查普及的基础设施。"曹凯说。
被改写的平行人生
老邱术后恢复得很好。他常想起那个秋日午后,想象另一个平行时空的自己:没有那通AI驱动的电话,他照常回家,照常吃药,照常生活;直到某天剧痛来袭,一查已是晚期,然后是漫长的化疗,是手术台上狰狞的刀口,是家人眼中无法掩饰的绝望……
他不愿再想下去。
而在现实这个时空,那个平行世界里的悲剧,被一个AI模型轻轻改写了——就像齐天大圣挥笔,划掉了生死簿上的名字。
(本文基于上海长海医院胰腺疾病研究团队的临床实践与科研成果撰写)
夜雨聆风