不得不知道的 ImageJ 实用插件分享

前段日子,导师突然要求我对HE染色及电镜的轴突图片进行计数、分析血管密度等,这让我愁眉不展。但是,经过学习机智的我使用ImageJ顺利的解决了这些问题。ImageJ可自动、快速得到分析结果,今天就把这些科研中不得不知道的实用插件分享给大家!
一、CLAHE插件增强图像对比度
CLAHE (Enhance Local Contrast)插件可增强图像的局部对比度从而增加图片清晰度,例如原始电镜图片经过CLAHE增强后更加清晰:

CLAHE插件下载地址:https://imagej.net/Enhance_Local_Contrast_(CLAHE)。
将下载插件插件放置Plugins文件夹下,重启ImageJ软件即可。Plugins -> CLAHE处可见,界面如下:

CLAHE插件有助于图片分析,例如RetFM-J自动计数。
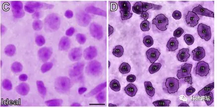
HE染色是病理学最常用的染色技术之一,RetFM-J插件适用于HE染色阳性细胞的快速自动计数。
RetFM-J插件可于http://imagej.nih.gov/ij/免费下载,计数效果如下:

分析步骤:
1、ImageJ软件File -> Open打开HE染色图片:

2、Plugins -> CLAHE增强局部对比度:

3、Plugins -> RetFM-J插件,默认设置,点击OK即可得到细胞数量、面积、坐标、周长等结果:


二、VesselJ分析血管密度
VesselJ是一种基于动态阈值算法的新型ImageJ插件,可用来定量血管和淋巴血管生成。该方法排除了认为选择阈值带来的误差,还可以同时自动处理多个图像。
VesselJ下载地址:https://imagej.nih.gov/ij/plugins/vesselj/index.html。将下载插件插件放置Plugins文件夹下,重启ImageJ软件即可。Plugins -> VesselJ处可见。
分析步骤:
1、ImageJ软件File -> Open打开CD31染色(Red)血管:

2、Plugins -> VesselJ,选择CD31-green,点击OK弹出提示框只能仅打开需要分析的图片:


提示框点击OK后弹出Selection required,矩形选框选择荧光图片背景,点击OK:

分析快速完成显示:

分析结果如下:

结果解读:
总面积是1392606,非血管的面积是796438,血管的面积是596168,血管占总面积的比例是0.428,即血管密度为42.8%。
3、批量血管密度分析
ImageJ软件File -> Open打开多张CD31染色(Red)血管图片:

分析步骤大致与分析单张图片类似,不同的是需要在3张图片上矩形选框选择荧光图片背景,即可得到结果:

三、AxonJ插件分析轴突
AxonJ可快速自动对啮齿动物视神经图像和全神经图像中的轴突进行计数与分析。
AxonJ下载地址:https://imagej.nih.gov/ij/plugins/axonj/index.html。
将下载插件插件放置Plugins文件夹下,重启ImageJ软件即可。AxonJ插件Plugins -> AxonJ处可见。
分析步骤:
1、ImageJ软件File -> Open打开电镜获得的轴突图片:

2、Plugins -> AxonJ即可自动得出结果,共有607个轴突:

分析结果与原图对应效果为:

除得到轴突数量外,还可以得到面积、Feret直径、质心等数据:
四、LeafJ测量叶片形态参数
叶子是主要的光合器官,植物发育过程和不同环境下叶片的大小和形状都是不同的。由于这些原因,对叶片形态的研究需要测量大量叶片的多个参数,且这些测量最好由半自动的工具完成。LeafJ可快速测量模式植物如拟南芥的叶柄长度和叶片参数。
LeafJ下载地址:http://bitbucket.org/jnmaloof/leafj。
将下载插件插件放置Plugins文件夹下,重启ImageJ软件即可。插件Plugins -> LeafJ处可见
分析步骤:
1、ImageJ软件File -> Open打开叶片:

2、Image -> Type -> 8 bit将图片转化为灰度图片:

Image -> Adjust -> Threshold选中叶片,红色代表选中:

Plugins -> LeafJ,可填入样品信息例如所属组、处理、基因型等,点击Continue,即可得到结果:

下图是LeafJ自动计算得到的叶片与叶柄的ROI,并自动添加至ROI Manager中:

可得到的数据有叶柄长度、叶片长度、叶片宽度、叶片面积、叶片周长、叶片圆度等数据:

3、File -> Open Recent可打开分析的叶片原图,ROI Manager中勾选Show All与Labels可在原图上显示分析结果:

今天给大家分享的都是ImageJ中非常实用的插件,希望对大家有所帮助!
参考文献:
-
Hedberg-Buenz A,Christopher MA, Lewis CJ, et al. RetFM-J, an ImageJ-based module for automatedcounting and quantifying features of nuclei in retinal whole-mounts. Exp EyeRes. 2016
-
Rabiolo A, Bignami F,Rama P, Ferrari G. VesselJ: A New Tool for Semiautomatic Measurement of CornealNeovascularization. Invest Ophthalmol Vis Sci. 2015;56(13):8199-206
-
Maloof JN, Nozue K,Mumbach MR, Palmer CM. LeafJ: an ImageJ plugin for semi-automated leaf shapemeasurement. J Vis Exp. 2013
相关阅读:
老司机带你解锁ImageJ实用技巧(上)
老司机带你解锁ImageJ实用技巧(下)
利用IPP6.0软件测量厚度
SCI对图片的一般要求有哪些,你都知道么?
CNS都在用的图片分析工具,你造嘛?
细胞划痕的面积怎么定量统计?此神器助你发高分
如何用Image J 对Western blot 条带进行灰度分析

文章解读、基金设计,扫我吧
夜雨聆风
