转载丨一个病例说明牙周探诊的必要性
本文转载自:
一个病例说明牙周探诊的必要性
如何判断一个牙周医生是否合格?对患者来说最简单的判断就是这个医生是否进行牙周探诊检查。

什么是牙周探诊?
牙周探诊是牙医用一把细长的探针,轻柔地测量牙龈与牙齿之间的“牙周袋”深度,以及检查牙龈出血、牙结石和牙根暴露等情况。这项检查通常在常规口腔检查或洗牙时进行,整个过程无创、快速,但可能微痛。


为什么牙周探诊如此重要?
我想先介绍我一个病例,来更直观地理解。

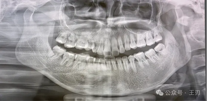
这是患者的X线全景片,是她三个月前洗牙的时候医生帮她拍的,该医生从这张全景片判断她没有牙周炎,尽管她要求了探诊,但医生拒绝探诊,并告知她“应该没有牙周炎”。

这是该医生给她照的全口咬合翼片,从该组片子上也没有发现特别明显的牙槽骨吸收,所以该位医生再次确认自己的判断–患者没有牙周炎。
值得一提的是,这位患者的确口腔卫生比较好,牙龈也没有明显的红肿,的确“看起来不像牙周炎”。
在了解她的病史之后,我花了10分钟给她做了详细的牙周探诊检查,以下是一些牙的探诊深度:她的磨牙邻面都有很深的牙周袋,特别是17,27,37和46。

因为患者三个月前的全景片和咬合翼片都没能看出明显的骨吸收,根据探诊的结果我给她拍了CBCT:


因为CBCT是三维影像,把视图拉到靠舌侧(上图),可以发现46近中很深的牙槽骨吸收,已经到达根尖。而把视图拉到靠颊侧(下图),在同样位点46的近中就看不到明显骨吸收。这就是为什么我们不能单单凭借X光片去判断患者是否有牙周炎,探诊是最简便,无害,客观的检查手段。


同样的,17的远中根据探诊结果有牙周深袋,将视图拉到舌侧(上图),可以看到17远中有明显的骨吸收,而将视图拉到颊侧(下图),看不到明显骨吸收。


27的远中同样有探诊深袋,将视图拉到舌侧(上图),可以看到骨吸收,拉到颊侧(下图),看不到明显骨吸收。
可以想象一下,如果这位患者没有接受过探诊检查,她一直会以为自己没有牙周炎,不需要治疗,而错过治疗的机会。
我们再从循证医学的角度看一下为什么牙周探诊如此重要:
01
牙周探诊是早期发现牙周病的唯一科学方法

· 牙周病(包括牙龈炎和牙周炎)早期往往没有明显症状,如不定期探诊,患者很难自觉发现。
· 临床研究显示,牙周袋加深和探诊出血是牙周炎最早、最敏感的临床信号(参考:Tonetti MS et al., 2018, J Clin Periodontol)。
· 2018年新版国际牙周病分类指南明确指出:牙周探诊是诊断和分期牙周炎的核心依据。
02
量化疾病严重程度,指导个性化治疗

· 探诊可测量每颗牙齿6个部位的牙周袋深度(单位:毫米),≥4mm即提示有牙周破坏。
· 通过探诊出血(BOP)率,医生可评估炎症活跃度。BOP≥30%为广泛型牙龈炎(Lang NP et al., 1990)。
· 这些数据帮助医生制定个性化治疗方案,如深度清洁、手术或定期维护频率。
03
监测治疗效果与疾病进展
· 多项临床试验证实,牙周探诊是评估治疗效果和长期随访的“金标准”(参考:Heitz-Mayfield LJA, 2005, J Clin Periodontol)。
· 牙周袋深度和出血率的变化,能客观反映炎症是否控制、骨丧失是否进展。
04
预防全身疾病的“前哨”
·研究发现,牙周炎与心血管疾病、糖尿病、早产等全身疾病密切相关(参考:Sanz M et al., 2020, J Clin Periodontol)。
·牙周探诊有助于早期发现高风险人群,及时干预,降低全身健康风险。
有哪些权威证据支持?
· 系统综述与指南:
▲2018年欧洲牙周病学会联合美国牙周学会发布的国际指南(Tonetti MS et al., 2018)强调:“牙周探诊是诊断、分期、治疗和随访牙周疾病的基础。”
▲一项纳入超10,000名患者的多中心研究(Matuliene G et al., 2008, J Clin Periodontol)证实,定期探诊随访可将牙周炎复发风险降低50%以上。
· 预后判断:
▲牙周袋深度与牙齿预后密切相关,每增加1mm,牙齿丧失风险显著上升(Needleman I et al., 2018, J Clin Periodontol)。
常见误区与科普答疑
正规操作下,探诊仅有轻微不适,不会伤害健康牙龈。若探诊时出血,往往提示已有炎症。在牙周炎症较重的情况下,牙周袋内有溃疡存在,探诊可能会比在健康的牙周探诊疼一些,但其实疼痛的程度较小,患者更多的是担心疼痛带给他们的“牙龈遭到伤害”的信号,研究发现,探诊后3-7天牙龈会恢复原来的附着程度,探诊不会造成牙龈的伤害。
错误!牙周病早期多无症状,定期探诊是唯一科学筛查手段。
建议每年至少一次全面牙周探诊,尤其是35岁以上、吸烟、糖尿病或有家族史者。
结语:
牙周探诊是守护牙龈和牙齿健康的“金标准”,它能帮助我们早发现、早治疗牙周病,预防牙齿松动脱落和全身健康风险。定期牙周探诊,科学管理口腔健康,是每个人都值得投资的健康习惯!
作者介绍:
参考文献:
1. Tonetti MS, Greenwell H, Kornman KS. Staging and grading of periodontitis: Framework and proposal of a new classification and case definition. J Clin Periodontol. 2018;45(Suppl 20):S149–S161.
2. Lang NP, Joss A, Orsanic T, Gusberti FA, Siegrist BE. Bleeding on probing. A predictor for the progression of periodontal disease? J Clin Periodontol. 1990;17(10):714–721.
3. Heitz-Mayfield LJA. Disease progression: identification of high-risk groups and individuals for periodontitis. J Clin Periodontol. 2005;32(Suppl 6):196–209.
4. Matuliene G, et al. Influence of residual pockets on progression of periodontitis and tooth loss: results after 11 years of maintenance. J Clin Periodontol. 2008;35(8):685–695.
5. Sanz M, et al. Scientific evidence on the links between periodontal diseases and systemic diseases: Consensus report of the Joint EFP/AAP Workshop. J Clin Periodontol. 2020;47(Suppl 22):16–17.
6. Needleman I, et al. Predictors of tooth loss over 10 years in patients receiving periodontal maintenance. J Clin Periodontol. 2018;45(6):701–710.
夜雨聆风