夜雨聆风
乐于分享
好东西不私藏
首页
教程
玩机教程
网站开发
WordPress
源码
模板主题
网站源码
插件脚本
软件
手机应用
电脑应用
iOS专区
TV盒子
车机软件
办公开发
游戏
好片推荐
活动资讯
最新活动
科技资讯
其他资源
实用趣站
零散资源
谈天说地
关于我们
进制转换
毒鸡汤
画图板
代码运行
在线排版
今天吃啥
随机密码
在线Markdown
关注本站
微信
当前位置:
夜雨聆风
>
技术教程
>
软件教程
>
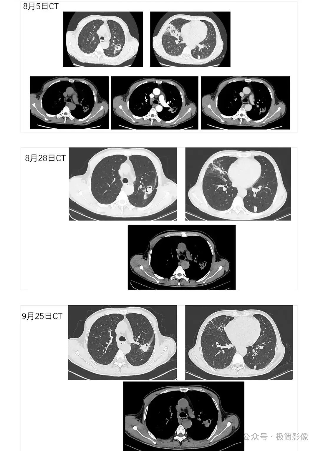
【临床必备】影像入门篇:肺部真菌感染
【临床必备】影像入门篇:肺部真菌感染
当前时间: 2026-03-14 23:38:16
分类:
软件教程
评论(0)
【临床必备】影像入门篇:肺部真菌感染
本站文章均为手工撰写未经允许谢绝转载:
夜雨聆风
»
【临床必备】影像入门篇:肺部真菌感染
wang
上一篇
精彩短剧《迫嫁局中局》1-99集(合集/完整版/大结局)
下一篇
精彩短剧《红糖姜汁》1-99集(合集/完整版/大结局)
猜你喜欢
暂无文章