乐于分享
好东西不私藏

药苑牙谈|个性化可吸收3D打印支架助力牙种植骨再生:病例报告一例

药苑牙谈|个性化可吸收3D打印支架助力牙种植骨再生:病例报告一例

药苑牙谈

本栏目立足口腔医学前沿,融合先进技术理念、医药协同与医工交叉等特色优势,致力于打造一个专业、开放、思辨、创新的口腔学术交流平台,助力学科持续发展与医师专业成长。

分享者:高林晶   2024级规培医师

指导老师:李  梁   刘  琦

原文发表于:《临床口腔种植研究》期刊 – 2024年 – Sašo Ivanovski(作者) – 澳大利亚昆士兰大学牙科学院 DOI: 10.1111/clr.14340                                    
本文献聚焦3D打印可吸收支架技术在牙种植骨再生中的应用,为临床前牙美学区修复提供参考。

一、病例情况

患者信息

  • 46岁男性,11牙(右上中切牙)因根尖周炎、颊侧瘘管,既往根管治疗+桩核冠修复失败,需行种植修复;
图1 口内拔牙前照片
  • 术前CBCT显示:11牙位点为4型水平牙槽骨缺损,骨缺损体积336.28mm³,PES(软组织美学评分)仅4分、WES(修复体美学评分)2分(美学基础极差);
图2 11牙(右上中切牙)拔除后骨质破坏严重(图中红框所示区域)
  • 核心目标:①精准填补骨缺损,为种植体提供稳定支撑;②恢复牙龈形态与牙冠外观,达到“以假乱真”的美学效果。

二、核心技术:全数字化个性化修复流程

1.数据采集:双源数据保障精准

  • 用3Shape TRIOS®口内扫描仪(IOS)获取牙齿、牙龈表面3D数据,Morita X800® CBCT(参数:FOV 5.0×8.0cm、90Kv、9mA、125μm分辨率)获取骨厚度、神经血管等内部解剖数据;
  • 导入CoDiagnostix®软件整合数据,为支架设计提供“内外兼修”的解剖依据。

2.支架设计:功能化3D建模

  • 由Materialise Mimics 23.0(从 CBCT 分割骨缺损区,生成3D解剖模型)和3-Matic Research 15(贴合缺损设计支架,含100-500μm孔径圆形UV晶格(供骨细胞迁移)、3 个 0.7mm 固定孔、0.8mm 统一厚度)协同完成。

3.支架3D打印:材料与工艺适配

  • 材料:医用级PC08聚己内酯(PCL,可吸收、生物相容,降解周期2-4年,匹配骨再生);
  • 设备与参数:EnvisionTEC 3D-Bioplotter打印机,200μm针头、110℃打印温度、1mm/s移动速度;
  • 后处理:同步打印水溶性麦芽糖醇支撑(避免晶格塌陷),经氧/氩等离子清洗(提升生物相容性)+18.4kGy伽马灭菌(符合医用标准,不损伤PCL性能)。
图3 PCL支架设计、打印制作及灭菌包装流程[(d)~(f)中所示浅蓝色支架结构为设计的PCL支架结构、(g) ~(i)所示白色支架为3D打印出来的PCL支架]

4.手术分期:骨增量+种植修复

一期(骨增量):翻开牙龈瓣,填入“自体骨屑+小颗粒脱蛋白牛骨矿物质(ABBM,粒径 0.25-1mm)+可注射富血小板纤维蛋白(iPRF)”混合物,植入3D打印 PCL 支架并以钛螺钉固定,缝合后抗感染治疗。
图4 支架引导骨再生(SGBR)治疗上颌骨水平缺损的阶段[(a)术前口内情况。(b)、(c)使用钛制自攻螺钉结合iPRF、ABBM和AB的混合物进行支架放置和固定。(d)引导骨再生(GBR)后的伤口闭合。S = PCL支架,BG = iPRF/ABBM/AB混合物,Fx = 钛制自攻螺钉]
二期(术后6个月):CBCT 复查骨再生良好,支架部分降解,植入种植体(初期稳定性佳);愈合后安装牙冠完成修复。
图5 引导骨再生术前与愈合6个月后的影像学对比[(a)和(c)术前矢状面和冠状面横截面;(b)和(d)术后6个月矢状面和冠状面横截面]
图6 种植二期手术[(a)和(b)二期手术前口内情况;(c)和(d)为植入物放置准备的翻开皮瓣。(e)和(f)在再生部位植入钛种植体。S=聚己内酯支架,Im=种植体]

三、关键结果:功能与美学双达标

1.骨再生效果:术后 6 个月骨体积增量达 364.69±2.53mm³,骨缺损基本修复;新骨在支架晶格内形成骨桥,与健康骨整合良好,种植体植入位置误差仅毫米级(颈部冠方偏差 1.08mm,根尖偏差 1.24mm)。
图7 植骨前后骨量对比[(e)和(f)术后3D重建;(g)术前缺损体积;Ti:钛固定螺钉;(i)粉色体积代表支架下方无骨区域;(h)6个月体积增加量;(ii)灰色体积的分割代表通过布尔减法得到的术前与术后6个月CBCT之间的差异。Scale bar =0.5 cm]
2.美学提升:修复后PES由4升至7分、WES由2升至9分,牙龈健康,牙冠与天然牙形态、颜色高度匹配。
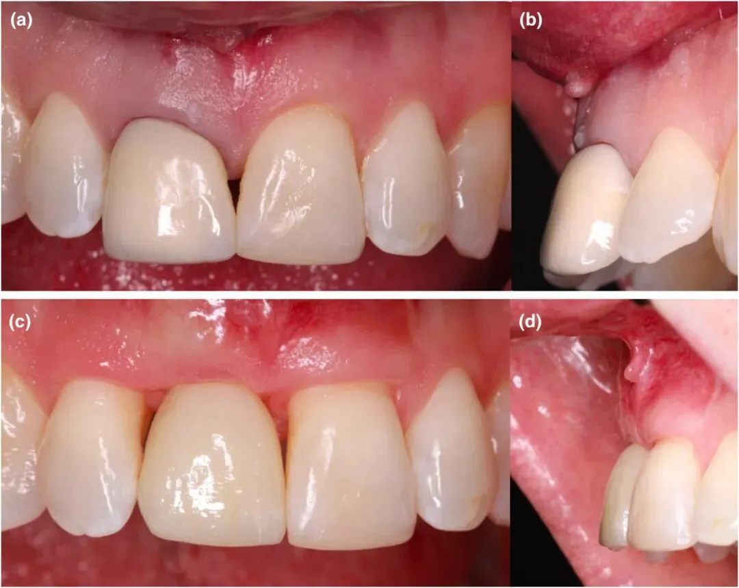
图8 修复前后口内情况对比 [(a)和(b)为修复前,(c)和(d)为修复后]
3.患者体验:术后48小时内轻度疼痛(VAS<44mm),第3天起无痛(VAS<5mm);前3天日常活动中度干扰,之后快速恢复,无感染、支架移位等并发症。

四、临床价值与启示

  1. 创新点:全数字化定制解决传统支架“适配差”问题;PCL材料+晶格结构平衡“支撑性-可降解性-生物相容性”;兼顾骨再生与软组织美学。
  2. 局限性:单病例报告,结论需多中心试验验证;未与传统引导骨再生(GBR)技术对比,未加载生物活性成分(如 BMP-2)。
  3. 临床建议:前牙美学区复杂水平骨缺损优先考虑 3D 打印个性化支架;PCL 是可吸收支架优选材料;PES/WES 评分可作为美学效果量化工具。

3D打印个性化支架实现了牙种植从 “批量修复” 到 “私人定制” 的突破,未来结合生物活性成分加载与多中心研究,有望成为前牙骨缺损修复的常规方案,让更多患者获得 “既好用、又好看” 的种植效果。
供稿:高林晶   李  梁
审核:康成容   刘  琦
本站文章均为手工撰写未经允许谢绝转载:夜雨聆风 » 药苑牙谈|个性化可吸收3D打印支架助力牙种植骨再生:病例报告一例

猜你喜欢

  • 暂无文章