【2026年南方台江苏专用教辅电子版生物多选培优word讲义第25讲人类遗传病
25讲 人类遗传病
一、 单项选择题
1. (2024·如皋中学)白化病和红绿色盲都是单基因遗传病,下列说法正确的是(B)
A.单基因遗传病是指受一个基因控制的遗传病
B.单基因隐性遗传病发病率低,应随机挑选多个患者家系调查其遗传方式
C.可以借助染色体筛查技术诊断胎儿是否患红绿色盲或者白化病
D.人类遗传病是由遗传物质改变引起的疾病,不受环境因素的影响
【解析】单基因遗传病是指受一对等位基因控制的疾病,A错误;调查单基因隐性遗传病发病率时,应随机取样调查,调查群体要足够大,可在患者家系中调查其遗传方式,B正确;借助染色体筛查技术,只能诊断染色体异常遗传病,不能诊断胎儿是否患单基因遗传病,如红绿色盲、白化病,C错误;人类遗传病是由遗传物质改变引起的,但在环境中如辐射等物理因素导致基因突变,也会造成遗传病的产生,因此也受到环境因素的影响,D错误。
2.(2024·启东期初)人类苯丙酮尿症是一种隐性遗传病。已知某正常男性的妹妹患了此病,其父母均正常。下列相关分析正确的是(C)
A.苯丙酮尿症是由X染色体上的隐性基因控制的
B.调查苯丙酮尿症的发病率应在患者家系中展开
C.基因检测可预测该男性未出生子女患病的风险
D.原发性高血压与苯丙酮尿症属于同类单基因遗传病
【解析】假设苯丙酮尿症为伴X染色体隐性遗传,则该患病女孩的父亲应是患者,但实际其父亲正常,所以假设错误,因此苯丙酮尿症为常染色体隐性遗传,A错误;调查苯丙酮尿症的发病率应在广大人群中随机抽样调查,B错误;原发性高血压是多基因遗传病,苯丙酮尿症为单基因遗传病,D错误。
3.(2022·浙江1月卷)各类遗传病在人体不同发育阶段的发病风险见下图。下列叙述正确的是(B)

A.染色体病在胎儿期高发可导致婴儿存活率下降
B.青春期发病风险低更容易使致病基因在人群中保留
C.图示表明,早期胎儿不含多基因遗传病的致病基因
D.图示表明,显性遗传病在幼年期高发,隐性遗传病在成年期高发
【解析】染色体病在胎儿期高发可导致胎儿的出生率降低,出生的婴儿中患染色体病的概率大大降低,保证了婴儿的存活率,A错误;青春期发病风险低,使致病基因更容易遗传给后代,因此更容易使致病基因在人群中保留,B正确;图示表明,多基因遗传病在后期发病率逐渐升高,说明部分早期胎儿含多基因遗传病的致病基因,C错误;图示只是研究了染色体病、单基因遗传病和多基因遗传病,没有研究显性遗传病和隐性遗传病,D错误。
4. (2024·扬州期末)下表是几种人类染色体异常遗传病的名称和相关染色体情况。下列叙述正确的是(D)
|
名称 |
相关情况 |
|
Criduchat综合征 |
5号染色体缺失一条 |
|
Patau综合征 |
13号染色体多一条 |
|
Turner综合征 |
X染色体缺失一条(XO) |
A.猫叫综合征与Criduchat综合征的病因是相同的
B.Patau综合征都是父亲或母亲减数分裂Ⅰ时13号同源染色体未分离所致的
C.Turner综合征属于X染色体缺失导致的伴性遗传病
D.表中所示的三种遗传病均可通过细胞培养、染色体分析进行产前诊断
【解析】猫叫综合征是5号染色体部分缺失导致的,属于染色体结构变异,Criduchat综合征是染色体数目变异导致的,A错误;Patau综合征是父亲或母亲减数分裂Ⅰ时13号同源染色体未分离或减数分裂Ⅱ时两条13号染色体移向同一极导致的,B错误;Turner综合征是X染色体缺失导致的,不是伴性遗传病,C错误;表中所示的三种遗传病病因均为染色体数目异常,所以可通过细胞培养、染色体分析进行产前诊断,D正确。
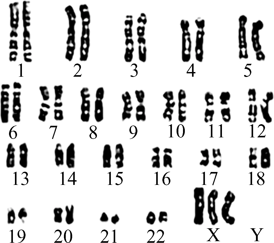
5.(2024·徐州期中)如图为XXX综合征患者的染色体核型分析图,下列叙述正确的是(B)

A.核型分析时加入的秋水仙素目的是抑制纺锤体的形成,诱导染色体数目加倍
B.病因可能是母源性的X染色体不分离
C.患者性母细胞进行减数分裂时联会紊乱不能形成正常配子
D.可以用正常基因取代患者细胞中的缺陷基因来治疗该疾病
【解析】核型分析时加入秋水仙素的作用是使更多细胞停留在分裂中期,A错误;该病患病原因可能是患者的母亲减数分裂过程中,两条X染色体在减数分裂Ⅰ后期移向了细胞的同一极,或者是减数分裂Ⅱ后期X染色体着丝粒分裂后,形成的两条子染色体移向了细胞的同一极,产生了含有2条X染色体的卵细胞,然后与含有X染色体的精子结合形成受精卵,B正确;患者含有3条X染色体,减数分裂时3条X染色体中任意2条X染色体可以正常联会,另一条X染色体随机移向细胞的某一极,最终可以形成含1条X染色体的正常配子,C错误;XXX综合征属于染色体异常遗传病,患者比正常人多了一条X染色体,不含致病基因,所以无法用正常基因取代患者细胞中的缺陷基因来治疗该疾病,D错误。
6. (2024·盐城考前指导)假肥大型肌营养不良(DMD)是一种最常见的进行性肌营养不良疾病,现报告了一例男孩患者,存在X染色体臂间倒位变异,该变异破坏了DMD基因,下图是患者家系图。下列有关叙述错误的是(D)

患者家系图
A.X染色体臂间倒位一般可以通过对有丝分裂中期染色体组型分析确定
B.通过DNA测序技术可以精确确定染色体臂间倒位的具体位置
C.导致该假肥大型肌营养不良的原因有基因突变和染色体结构变异
D.若Ⅲ3由于该病被进行了人工流产,则Ⅱ3和Ⅱ4再生一个患儿的概率是1/2
【解析】染色体结构变异和数目变异一般可以通过对有丝分裂中期的染色体进行核型分析观察判断,A正确;对X染色体上DNA碱基对排列顺序已知的情况下,利用DNA测序技术可以精确确定染色体臂间倒位的具体位置,B正确;根据题干信息可知,导致该假肥大型肌营养不良的原因有基因突变和染色体结构变异,C正确;因为该病是由基因突变和染色体结构变异引起的,无法确定Ⅲ3患病的原因属于哪种,即无法确定Ⅱ3和Ⅱ4的基因型,无法推断子代患病概率,D错误。
二、 多项选择题
7. (2024·姜堰中学改编)血红蛋白由四条肽链组成,包括两条α肽链和两条β肽链。若血红蛋白某位点的谷氨酸被缬氨酸替换,将导致人患镰状细胞贫血。下列说法正确的有(ABD)
A.人体(未成熟)红细胞中选择性表达血红蛋白基因
B.能通过显微镜观察判断是否患镰状细胞贫血
C.该疾病的根本原因是碱基对缺失导致基因改变
D.调查该疾病的发病率时要在人群中随机抽样调查
【解析】血红蛋白分布在人体红细胞中,由人体未成熟的红细胞选择性转录、翻译而来,A正确;镰状细胞贫血患者的红细胞呈弯曲的镰刀状,而正常人的红细胞是中央微凹的圆饼状,通过在显微镜下观察红细胞的形态,就可以判断是否患镰状细胞贫血,B正确;镰状细胞贫血的根本原因是碱基对替换导致基因改变,C错误;镰状细胞贫血是一种遗传病,调查某遗传病的发病率时要在人群中随机抽样调查,D正确。
8. (2024·南通中学改编)血γ球蛋白缺乏症是一种单基因遗传病,由等位基因B、b控制,已知Y染色体上无B、b基因。一对表型正常的夫妇,生出一个患该病的儿子和一个表型正常的女儿,基因检测发现该夫妇均携带该病的致病基因。下列叙述错误的有(AB)
A.女儿和母亲的基因型相同
B.血γ球蛋白缺乏症为伴X染色体隐性遗传病
C.该对夫妇再生一个表型正常女孩,她携带致病基因的概率是2/3
D.若调查血γ球蛋白缺乏症的遗传方式,应在患者家系中调查
【解析】一对表型正常的夫妇,生出一个患该病的儿子,可推知该病是隐性遗传病,Y染色体上无B、b基因,父亲、母亲均携带致病基因,则该病是常染色体隐性遗传病,父亲和母亲的基因型均为Bb,女儿
通过网盘分享的文件:南方凤凰台·2026全国一轮电子稿等7个文件
链接: https://pan.baidu.com/s/1Q8yIZ6J_EF4Bq61Fj8yz8w?pwd=4321 提取码: 4321
–来自百度网盘超级会员v8的分享
夜雨聆风