“AI医生”来啦!我院引进“人工智能肺结节影像辅助诊断系统”,实现肺癌早诊早治!
肺癌是世界范围发病率和死亡率最高的恶性肿瘤。在我国每年有超78万的肺癌新发患者,每5个恶性肿瘤死亡患者中就有一个是肺癌患者,发病率和死亡率在所有癌种中均位列第一。
因为肺癌早期难以被准确诊断。尤其是5-10mm肺部结节或实性成分较少的肺部结节难以准确评估,所以肺癌一旦发现,往往就是晚期,癌细胞通常已经扩散到身体的其他部位。而早期的肺癌患者其实通过手术治疗治愈率可高达80%,因此,降低肺癌死亡率,鉴别肺部结节的良恶性成为治疗的关键。
为提高医学影像的精准诊断率,我院引进了人工智能(AI)影像辅助诊断系统——肺结节智能分析系统。
该系统的运用将为广大患者提供更加快速、高效、精准的检查和诊断。肺癌的早发现、早治疗将极大提高患者的生活质量和存活率。
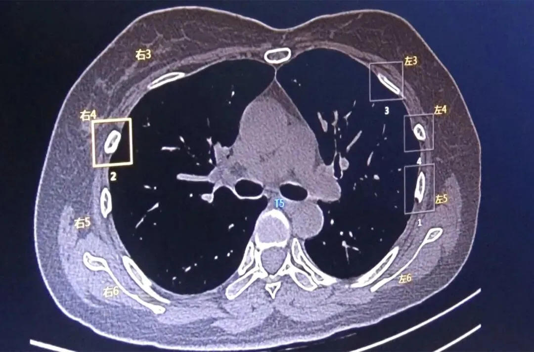
早期肺癌没有任何症状,而肺结节则是肺癌的“信号灯”。患者通过低剂量胸部CT检查,进行肺结节筛查,能发现早期肺癌!现临床开展的低剂量胸部CT是肺癌早筛的有效手段。
在所有的恶性肿瘤当中,肺癌患者的5年生存率也是最低的,仅为17%,很多患者发现罹患肺癌时已是晚期,因此,肺癌的早发现、早治疗就显得尤为重要。
肺结节AI自动检测及量化分析:AI系统可避免肺小结节的漏诊,尤其可以大幅度降低血管旁、微小结节、淡磨玻璃结节漏诊概率,大大提高肺小结节的检出率,结合AI自动量化分析参数,有效提升肺小结节精准诊断。
肺结节AI智能随访,建立随访档案,客观准确量化肺结节随访:针对同一患者的多次影像检查,AI自动精准匹配病灶,并提供该病灶变化的多种定量参数,包括病灶大小、体积变化率、病灶类型、病灶新增或消失评估、倍增时间计算等,并且生成关于该病灶的体积变化、密度变化的趋势图,直观辅助精准随访评估,辅助肺结节治疗的预后及疗效评估。
发现肺结节时应及时就医,在医生的指导下进行相关检查。医生根据检查结果综合评估结节性质,再决定下一步治疗方案。对于良性或中低危的肺部结节,按照医生的建议进行管理,多数为影像学定期随访。由于结节是变化的,良性结节有变化为恶性的可能性,而且可能会出现新的结节,所以在医生的指导下进行定期随访是很有必要的。
若随访过程中结节发生变化,可能需要进行增强CT、PET-CT检查、支气管镜、CT引导下经皮肺穿刺等活检检查,做进一步的评估和诊断。对于恶性或高危的肺部结节,积极配合医生进行进一步相关检查、药物治疗或手术治疗,最终结节性质以病理学检查为金标准。
因此,首次发现的肺部结节,不管恶性风险高低,都需要进行积极、科学地管理,及时发现结节的恶变,尽早采取合理、有效的管理方案。当然,良好的心态也非常重要,发现结节时不要慌,遵循医生建议科学管理,以获得最好的治疗效果。
罗艳玲 疼痛科主治医师
毕业于中山大学临床医学系,主治医师。十多年大医院临床经验,擅长疼痛、风湿免疫科的诊疗。如颈肩腰腿疼痛,中风偏瘫,风湿类疼痛,三叉神经痛,偏头痛,面瘫,带状疱疹后遗症….采用传统中医技术和现代中医技术相结合、针灸、按摩、推拿、复位、正骨、艾灸、生物电、水针刀、星状神经节阻滞及日本最新枝川注射松解术、肌间隙注射术等治疗疼痛无副作用,疗效显著,是无数疑难杂症患者的福音。
疼痛科诊疗范围:
1.慢性疼痛:头面部疼痛,胸背痛,颈肩腰腿痛,椎间盘突出症,四肢慢性损伤性疼痛,风湿性疼痛,内脏痛,心因性疼痛,血管性疼痛。
2.神经病理性疼痛:带状疱疹后神经痛,三叉神经痛,舌咽神经痛,糖尿病神经痛,内分泌代谢、尿毒症、血管性疾病、营养缺乏及化疗等药物引起的神经障碍,复杂区域疼痛综合征,残肢痛和幻肢痛。
1.微创技术:胶原酶椎间盘化学溶解术,鞘内药物输注系统植入术,脊髓电刺激系统植入术,椎间孔镜技术,射频治疗技术,等离子技术,超声引导下疼痛介入治疗技术,PRP技术,星状神经节阻滞术,臭氧疗法等。
2.无创技术(物理疗法):冲击波治疗,偏振光治疗,微波治疗,中频治疗,红外线治疗。
3.中医技术:耳穴压豆,中药塌渍疗法,小针刀疗法,银质针治疗技术,普通针刺,子午流注等。
长按,识别二维码,加关注
