当前时间: 2026-03-31 08:35:33
更新时间: 2026-03-31
分类:软件教程
评论(0)
乳头状汗管囊腺瘤–简易说明
1、定义:乳头状汗管囊腺瘤是一种良性的大汗腺分化的肿瘤,可以独立发生,也可与皮脂腺痣相关。
3、伴有MAPK信号通路激活突变,常可检测到BRAF、KRAS、HRAS突变。
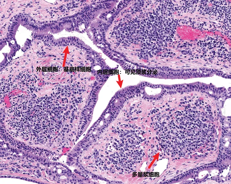
4、组织病理特征:开口于表皮,呈内生性火山口样生长,形成简单乳头结构,乳头表面可见两种细胞:内层细胞(柱状,可见顶浆分泌,胞浆嗜酸性)及外层细胞(基底样/肌上皮样细胞),两种细胞呈双层/多层排列。乳头间质可见多量浆细胞。