肿瘤患者注意!符合这3个标准,说明癌细胞已经被有效控制了!
治疗癌症,说白了就是不让癌细胞再长、再跑。临床上只要患者能达到下面这三条,基本就能判断病情稳住了,不光能活得更长,日子也能过得舒坦不少。

标准一:肿瘤标志物降到正常,复查稳定
像肝癌的甲胎蛋白(AFP)、前列腺癌的PSA这些指标,是看癌细胞活跃不活跃的关键数字。治疗之后,如果这些指标从几百、上千的高位,降到了医生认可的正常范围,而且连续几次复查都没再往上涨,就说明癌细胞繁殖慢了、数量少了。这是治疗有效的直接证据。不过也得结合其他检查,别让炎症啥的给带偏了。

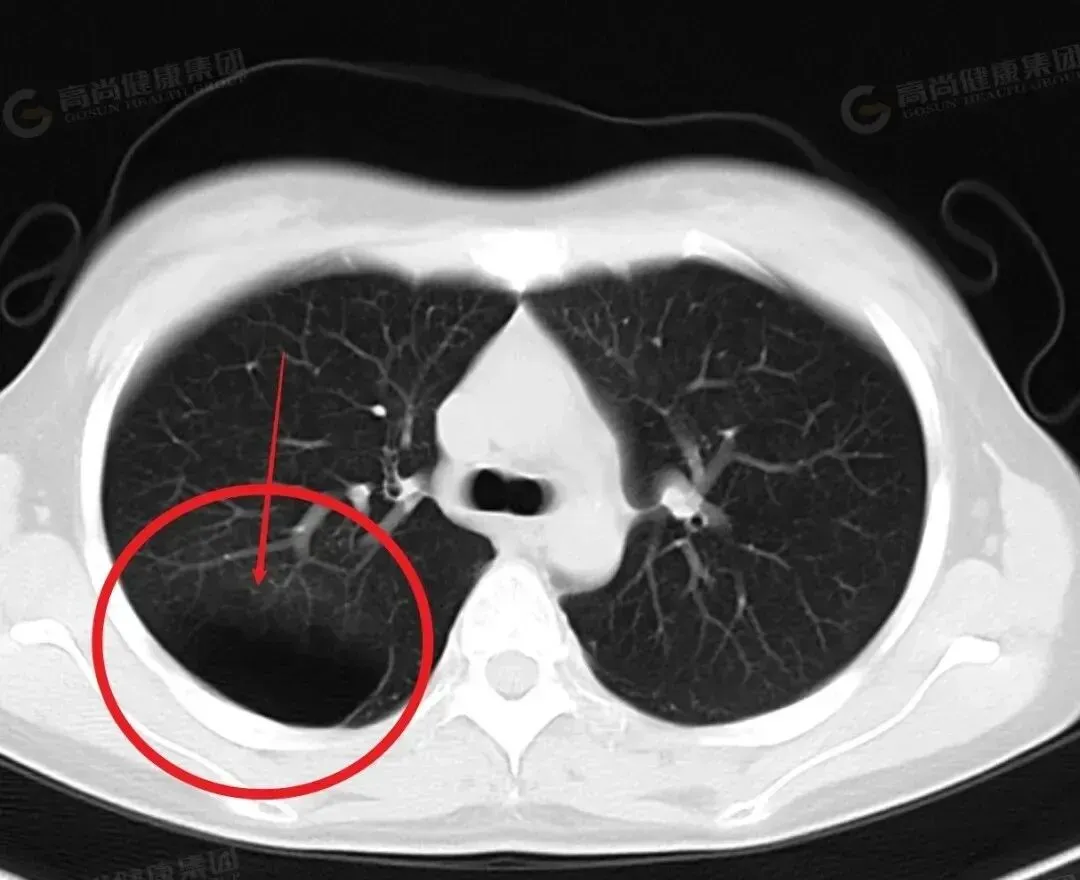
标准二:影像检查显示肿瘤缩小或消失,没有新病灶
CT、核磁共振(MRI)一看,原来的肿瘤肿块明显缩小了,比如从3厘米缩到1厘米,甚至完全看不见了,全身也没发现新的病灶。这是病情好转最硬核的证据,也是医生判断疗效的核心。只要出现这种情况,那就是实打实的在往好处走。

标准三:不舒服的症状减轻,吃饭睡觉恢复正常
以前因为癌症出现的癌痛、浑身没劲、咳嗽、肚子胀这些难受劲儿,慢慢减轻或者消失了,能正常吃饭、睡觉也规律了。这说明肿瘤对身体的消耗少了,身体能正常吸收营养、恢复体力,反过来又能更好地对抗癌细胞,形成一个良性循环。
👇👇👇点击下方预约刘培民主任

重要提醒
这三个标准得放在一起看,不能光盯着一项。比如肿瘤标志物降了,但影像检查显示肿瘤没变化,那就得让医生综合评估。就算三条都达标了,也不能掉以轻心,必须按医嘱定期做影像和肿瘤标志物复查,盯紧病情变化。同时保持均衡饮食、规律作息,才能巩固治疗效果,为长期康复打好基础。
我是肿瘤科主任刘培民,从事临床工作近30年,擅长口腔癌、食管癌、肺癌、胃癌、乳腺癌、结直肠癌、肾癌、卵巢癌、胰腺癌、淋巴瘤,脑胶质瘤等恶性肿瘤的中西医结合及纯中医治疗等工作。知道很多人就医不方便,我开通了远程问诊,需要帮助可以私信或评论找我。
👇👇👇点击下方预约刘培民主任

夜雨聆风