白塞病有这4个特征,说明你体质在恢复、白塞病在缓解,好转指日可待!
被白塞病反复缠上的朋友,大多都懂这种煎熬:嘴里的溃疡刚好又冒出来,连吃饭说话都犯怵,私处溃疡、皮肤红斑、眼干眼红一波接一波,药吃了不少,可症状总像按下葫芦浮起瓢,甚至慢慢没了好转的盼头。
其实白塞病的好转从来不是突然的,如果你身上出现这 4 个特征,说明你的体质正在慢慢恢复,病情在持续缓解,离稳住状态、回归正常生活已经不远了。

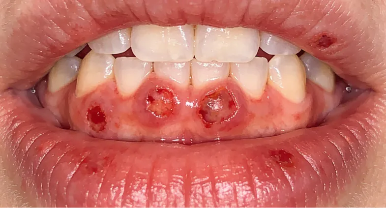
第一个特征:溃疡发作少了、好得快了、疼得轻了。嘴里、私处的溃疡,是判断白塞病状态的重要参考。如果你之前每月要犯 2-3 次,一次疼十几天,现在发作间隔越拉越长,就算长了溃疡,3-5 天就能愈合,痛感也明显减轻,不用额外止疼也能正常生活,这就是病情缓解最直观的信号。
第二个特征:浑身没劲、失眠烦躁的情况少了,精神头明显变好。白塞病不只是长溃疡,还会影响全身状态,很多人常年累得慌,没干活也提不起劲,睡不好、吃不下。如果这些不适慢慢消失,睡眠、食欲都顺了,白天能正常出门、做家务,说明你的脏腑状态在慢慢恢复,身体的自愈能力在重启。

第三个特征:眼干、皮肤红斑等问题稳定消退,没有新发不适。很多患者会伴随眼干眼红、下肢长红斑、反复起毛囊炎,这些都是病情活动的信号。如果这些不适慢慢消下去,没有新的问题出现,说明体内的病邪已经得到了有效遏制,病情进入了稳定的缓解期。

第四个特征:减停调理方案后,没有明显反弹,状态持续稳定。很多人之前用药物能压住症状,可一减停就立刻反复。如果你在逐步调整方案、减停后,症状没有大幅反弹,状态能稳定 3 个月以上,说明调理不只是暂时压住了不适,更是从根上改善了你的体质,这是长期稳定的关键。

很多人会问,为什么患病多年,始终等不到这些好转的迹象?大多是因为没有找对调理的核心。白塞病在中医里属于 “狐惑病”,核心问题是体内湿热毒邪堆积为标,脏腑功能失调、气血失衡为本,只盯着溃疡消不消除,不解决根源的体质问题,症状自然容易反复。
临床上,我们通常会根据患者的病程、症状和体质,把白塞病分为湿热毒蕴、肝脾湿热、肝肾阴虚、脾肾阳虚 4 种常见证型,只有精准辨证、对症调理,才能减少反复。在这方面,有 40 余年中医临床经验的李艳波主任,有着成熟的辨证调理体系。

李艳波主任深耕狐惑病(白塞病)等疑难问题的中医辨证调理多年,结合经典医理与一线临床经验,针对白塞病的核心病机,以白塞清解汤为基础方,根据每个人的证型、体质、病程个性化加减配伍,25 天为一个调理周期,急性发作期先缓解不适、减轻痛苦,缓解期再调理脏腑、改善体质,帮助很多患者稳住了病情。
38 岁的赵先生患白塞病 3 年,溃疡反复、浑身乏力,用药能缓解、一减就反弹,找到李主任后,辨证为肝脾湿热型,个性化搭配白塞清解汤调理。1 个周期后,溃疡发作明显减少;3 个周期后,不适基本消失,减停后随访半年,状态一直很稳定。

白塞病的好转,从来都不是靠运气,找对方向、对症调理,每个人都有机会迎来好转。如果你身边也有被白塞病反复折磨的朋友,不妨把这篇文章转发给他们,帮他们少走弯路,及时抓住好转的信号。
关注我,后续会持续分享白塞病的中医调理知识,陪你一起对抗病痛,不走弯路。

点个关注,请转发给需要的人
夜雨聆风