乐于分享
好东西不私藏

来欣赏Tina姐定制的2个插件:TS批量分割,MRI多序列配准,学员免费用

来欣赏Tina姐定制的2个插件:TS批量分割,MRI多序列配准,学员免费用

~

|Tina
|csdn
csdnhttps://blog.csdn.net/u014264373
一直以来,不知道我的粉丝朋友们觉得我到底是做什么的,有觉得我是医生的,也有觉得我是计算机搞图像处理的。但请你不要觉得我只会在slicer里调用AI插件做分割!
因为,我除了会写代码,还会在slicer里定制插件。马上要开培训班了,给我的学员们定制了两个插件,一起来欣赏一下吧~
1. Totalsegmentator(TS)批量分割插件:
快准狠!在3D Slicer中,使用Total Segmentator可在1分钟内分割全身117个器官
如何将TotalSegmentator用于科研论文-案例思路分享
顶刊Radiology:TotalSegmentator MRI:自动分割80多个器官,在3D slicer中亲测可用!
如何快速去除CT中的床板与体外区域-使用 TotalSegmentator 的 Body 模型
python版:使用TotalSegmentator可在1分钟内自动分割全身117个器官,附批量技巧
在之前的文章中,我写了很多totalsegmentator的用法,最受欢迎的是在slicer中使用TS插件进行分割。因为有界面,只需要点点点就可以实现,人人都学得会。如:
但是,在科研中,往往我们需要分割很多病人的数据吧,而且也不需要分割那么多器官组织吧,做肝脏的只需要分割肝脏,做肾脏的只需要分割肾脏吧,其他的结构分割出来了,还需要花时间一个个去删掉!
说的是不是你😁
其实,TS提供了python端调用的接口,也写了python端批量分割的代码,但对于喜欢在界面点点点的医生来说,这还是很麻烦的。所以我就把这个功能写到了slicer里。让你们点点点就能批量分割,指定器官,而不是一股脑梭哈
我给这个插件取名为:Batch TotalSegmentator, 只需要选择图像输入和输出路径就可以批量化。
我也知道有公众号也干了这个事,把TS的模型包了一个壳,做成软件卖。或者把其他模型包装,汉化就卖钱。你看我了这个之后,是不是觉得很简单一个事情,别人却卖你高价。关注我的粉丝,不要当这个冤大头哦
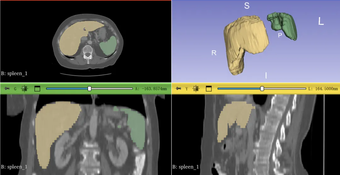
比如,上图里,我选择分割脾脏,肝脏,最后的结果就是只分割了这两个器官,不需要再手动删除不要的器官了~
2. 批量 MRI 颅脑多序列配准

我做了一个批量将病人FLAIR、T2WI 配准到 T1WI的程序。

插件信息如上

使用非常简单,如上图,只需要设置输入输出地址就行,然后点击开始配准。下面是配准进度显示。

今天除了炫技之外,也是告诉各位老板,我们能在slicer上做的事情很多,比如分割后,计算体积,面积,长度等各种定制化需求,我们也在做。

深谙slicer很多年,除了应用层面的使用,我们还会开发!而且非常专业,目前已经服务不少客户。

为什么建议将您的程序放到slicer,slicer是大平台,您的工作放上来,可以被很多人看到和推广,提升你的知名度。如果不想开源,借助slicer也可以快速开发应用,避免重复造车轮子~

我的教程如果对你有帮助,请你一定要反馈(点赞在看分享or下方打赏)。这是对创作者最大的支持,也是能继续创作的动力!
注:本文内容仅供科研学习与学术交流使用,不构成任何医疗建议。

好友邀请函 #

△长按添加好友

备注:由于公众号没有留言功能,很多时候都是我们在输出,并没有反馈。也不知道大家喜不喜欢文章,或者想了解哪方面的内容。

学术的交流应该是及时的, 讨论的。目前给大家建了一个交流群,大家一起快乐学习,微笑生活。科研艰难,让我们一起携手前进~~~

进群需先加上面vx, 注明来意。

END